GENES Y HERENCIA
3. GENÉTICA HUMANA
La genética humana trata sobre la herencia de los
caracteres en los seres humanos. El Proyecto Genoma
Humano ha determinado que tenemos entre 20.000 y 30.000
genes.
GENES Y CROMOSOMAS
Los seres humanos se reproducen sexualmente y sus células
son diploides, es decir, tienen dos dotaciones completas de
cromosomas, una de origen materno y otra de origen paterno.
En total, los humanos tienen 46 cromosomas (o 23 pares).
Se dice que el hombre es 2n=46 (n=23).
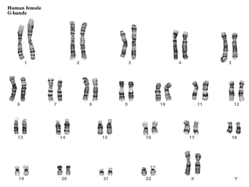
Al conjunto de todos los cromosomas se le denomina
cariotipo. Si se representan de forma ordenada por tamaños
se obtiene un cariograma o idiograma.
La mayoría de los caracteres de los humanos están
controlados por varios genes y son, por tanto, cuantitativos,
por lo que no cumplen las leyes de Mendel: estatura, color de
la piel, tamaño corporal,... Sin embargo, también hay
caracteres cualitativos o mendelianos.
Caracteres recesivos y dominantes
Caracteres recesivos
Caracteres dominantes
Los cromosomas humanos pueden clasificarse en dos
categorías: autosomas y cromosomas sexuales.
•
Autosomas: son los cromosomas que determinan todas
las características humanas salvo el sexo. Son 22 pares.
•
Cromosomas sexuales: son los que determinan el
sexo del individuo. Son un único par, el 23. En mujeres
son iguales, dos cromosomas X. En hombres no son
homólogos, pues uno es X y el otro Y.
HERENCIA DEL SEXO
En los humanos el sexo está determinado por los
cromosomas, concretamente por los cromosomas
sexuales.
Los 22 pares de cromosomas autosómicos son iguales en
hombre y mujeres, pero varían los sexuales. Las mujeres
tienen cariotipo 44+XX y los hombre 44+XY.
En mujeres cuando se forman los óvulos, cada uno de ellos
llevará la mitad de cromosomas que las células somáticas y,
por tanto, sólo tendrán un cromosoma sexual, el X.
Los hombres, en cambio, pueden formar dos tipos de
espermatozoides: la mitad llevan un cromosoma X y la otra
mitad uno Y.
Por tanto, el sexo del futuro embrión dependerá del
espermatozoide. Si en la fecundación el espermatozoide es X,
nacerá una niña; y si es Y, un niño.
La probabilidad es del 50 %, por lo que nacen tantos niños
como niñas en el mundo.
Para ir a donde no se sabe hay que ir por donde no se sabe.” San Juan de la Cruz
“It must be a strange world not being a scientist, going through life not knowing--or
maybe not caring about where the air came from, where the stars at night came from
or how far they are from us. I WANT TO KNOW” Michio Kaku
“Nullius in verba” Robert Boyle, Christopher Wren y Robert Hooke
Bonellia viridis
Las razas humanas no existen
El color de la piel en humanos depende
de numerosísimos genes y sus
combinaciones. Este color, además, no
está relacionado con un determinado
conjunto de caracteres. Por lo tanto, las
razas humanas no existen, como se
explica en este artículo
eldiario.es
Nettie Stevens y los
cromosomas sexuales
Los cromosomas X e Y fueron
descubiertos en insectos por Nettie
Stevens, una alumna del Nobel Thomas
Hunt Morgan, el “señor de las moscas”.
La Voz de Galicia