BIOLOGÍA Y GEOLOGÍA

LA SALUD Y LA ENFERMEDAD EN EL SER HUMANO

1. SALUD Y ENFERMEDAD

Los conceptos de salud y enfermedad son difíciles de precisar. La clásica definición de la Organización Mundial de la Salud (OMS) indica que: la salud es un estado de completo bienestar físico, mental y social, y no solamente la ausencia de enfermedades. A efectos prácticos ese concepto es inalcanzable, por lo que podemos definir la salud como la ausencia de enfermedad y a la enfermedad como un mal funcionamiento de algún aparato o sistema. La enfermedad sería un trastorno del cuerpo o la mente que origina una alteración de las funciones vitales. Las enfermedades pueden tener causas muy diversas, pero pueden agruparse en dos tipos: infecciosas y no infecciosas. Las infecciosas son provocadas por un agente patógeno y la mayoría son transmisibles. Las no infecciosas tienen un origen diferente y no son transmisibles nunca.

2. ENFERMEDADES INFECCIOSAS

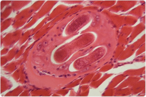
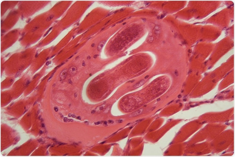
Son enfermedades provocadas por algún agente patógeno (vivo o no) que se introduce y multiplica en el interior del cuerpo. Los principales agentes patógenos o infecciosos son: A. VIRUS: son organismos acelulares, por lo que no se consideran vivos. Constan de una cápsula proteica con ácido nucleico (ADN o ARN ) en su interior. Necesitan una célula para reproducirse. Producen enfermedades como el SIDA, la gripe, el sarampión, la rabia, hepatitis... B. BACTERIAS: organismos unicelulares procariotas. Se encuentran en todos los medios y tienen todos los tipos de nutrición. Se reproducen asexualmente por bipartición. Provocan enfermedades como pneumonía, cólera, tuberculosis, tétanos, difteria... C. HONGOS: organismos uni o pluricelulares eucariotas heterótrofos. Se reproducen por esporas. Causan enfermedades como la tiña, el pie de atleta, la candidiasis... D. PROTOZOOS: organismos unicelulares eucariotas heterótrofos. De vida libre o parásitos. Originan algunas de las peores enfermedades que ha padecido y padece la humanidad: malaria o paludismo, enfermedad del sueño, disentería... E. PRIONES: (de protein infection)son simples proteínas de estructura anómala que provocan daños en el sistema nervioso. Ocasionan enfermedades llamadas, en general, encefalopatías espongiformes: EEB (encefalopatía espongiforme bovina o enfermedad de las ‘vacas locas’), tembladera de ovejas y cabras. En humanos provoca la enfermedad de Kreutzfeldt-Jacob o el kuru. F. ENFERMEDADES CAUSADAS POR ANIMALES PARÁSITOS Existen numerosas especies de animales capaces de causar o transmitir enfermedades infecciosas a los humanos. Los hay ectoparásitos (viven en la superficie del cuerpo y son vectores de enfermedades: piojos, pulgas, garrapatas, sanguijuelas,… Otros son endoparásitos, pues penetran en el interior del cuerpo, donde desarrollan ciclos más o menos complejos que pueden incluir varios hospedadores intermedios antes de llegar al humano, hospedador definitivo. La mayoría son gusanos planos o cilíndricos. Anisakiasis: infestación debida a un nemátodo (gusano cilíndrico) de unos 2 cm llamado anisakis. El gusano vive en pescados y moluscos y se transmite al comer estos alimentos poco cocinados. Al principio produce típicos síntomas alérgicos (urticaria, inflamación) que pueden agravarse hasta un choque anafiláctico. Tras varios días aparecen síntomas digestivos (dolor, náuseas, vómitos, diarreas). Puede agravarse hasta la perforación del intestino y la colonización de hígado y páncreas. La prevención consiste en quitar las vísceras del pescado y cocinarlo, al menos, a 60 ºC; o bien tenerlo previamente congelado a -20 ºC durante 48 horas. Triquinosis: infestación causada por la triquina (Trichinella spiralis) un nemátodo habitual en carne de cerdo y jabalí. El gusano forma quistes en el músculo y, tras su ingesta, sale del quiste e invade el corazón y el diafragma, donde forma nuevos quistes, aunque también puede llegar a pulmones y encéfalo. Provoca vómitos, diarreas, fiebre, dolor muscular, arritmias, encefalitis,… La prevención radica en el análisis de las carnes antes de su consumo y evitar carnes crudas. Teniasis: infestación causada por parásitos intestinales llamados “solitarias”, platelmintos (gusanos planos) del género Taenia (T. solium, T. saginata). Las tenias pueden medir hasta 10 metros y constan de una cabeza o escólex (con garfios y ventosas para fijarse al huésped) y un largo cuerpo con anillos llamados proglótides. Carecen de boca o intestino y absorben los nutrientes por su superficie. Los animales (cerdos o vacas)n se contaminan por comer en sitios con contaminación fecal. Los humanos adquieren el parásito al comer la carne de estos animales. Suele ser bastante asintomática, salvo irritación intestinal y síntomas de desnutrición. La prevención radica en la sanidad animal y evitar el consumo de carne cruda.
“Para ir a donde no se sabe hay que ir por donde no se sabe.” San Juan de la Cruz “It must be a strange world not being a scientist, going through life not knowing--or maybe not caring about where the air came from, where the stars at night came from or how far they are from us. I WANT TO KNOW” Michio Kaku
Mas100cia @Mas100Cia
Vídeo de anisakis en pescado grabado por alumnos en un supermercado local.
“The Host”, obra del pintor Ben Taylor basada en la infección por el gusano Loa loa que él mismo padeció.
El virus del Ébola
Comparativa de los virus zoonóticos más peligrosos del último siglo
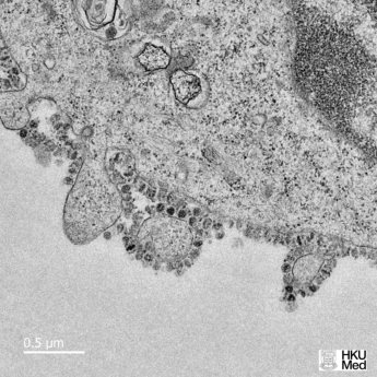
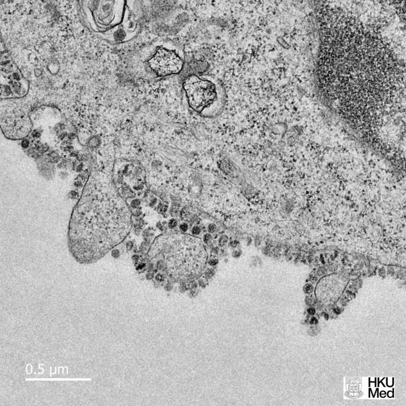
Primera imagen del coronavirus de 2019 saliendo de su célula huésped.